Diagnostyka RTG

DIAGNOSTYKA RTG:

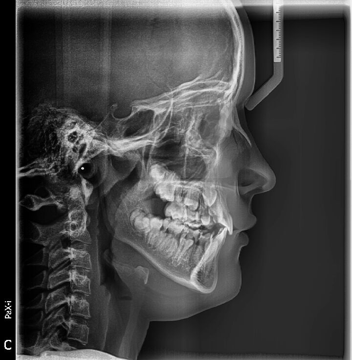
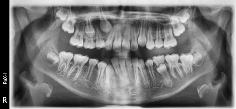
Zdjęcia panoramiczne i cefalometryczne.

 

7

Wykonujemy pełen zakres usług cyfrowych zdjęć stomatologicznych.

 

1 2

 

Najnowocześniejszy cyfrowy aparat pantomograficzny Vatech Pax-i z przystawką cephalometryczną oraz techniką multifokalną , zapewnia najwyższą jakość zdjęć , potrzebnych do leczenia stomatologicznego i ortodontycznego.
Za pomocą radiowizjografii cyfrowej wykonujemy również punktowe zdjęcia zębów.

Zdjęcia punktowe (radiowizjografia cyfrowa)

rvg

Stomatologia zachowawcza

ZOBACZ WIĘCEJ

Nowość !

ZOBACZ WIĘCEJ

Leczenie kanałowe

ZOBACZ WIĘCEJ

Protetyka i mosty adhezyjne

ZOBACZ WIĘCEJ

Kontakt

Katarzyna i Łukasz Pluta Spółka Cywilna

ul.Broniewskiego 29c

43-300 Bielsko - Biała

Nip: 9372537557

mBank 08 1140 2017 0000 4502 0701 6175

tel. 33 8159101 , 531 883 123

e-mail: med.dent.bb@gmail.com

 

Poniedziałek , Środa , Czwartek : 9.00-20.00

Wtorek , Piątek : 9.00-18.00

Dentysta - Stomatolog, Chirurg

 

Polityka prywatności - w zakładce "o nas".

(C) 2021 Med-Dent - Bielsko-Biała
Projektowanie stron www Bielsko Pozycjonowanie Stron
Strona korzysta z plików cookies zgodnie z Polityką Plików Cookies Zamknij